Craniofaringioma

craniofaringioma é um tipo raro de tumor cerebral benigno (não canceroso) que se desenvolve próximo à glândula hipófise (pituitária), na região selar ou supraselar do cérebro, perto da base do crânio.

Epidemiologia

Incidência: 1 caso em cada 500.000 a 2 milhões de pessoas por ano

Representa: 1% a 3% de todos os tumores intracranianos

Em crianças: 5-10% de todos os tumores cerebrais pediátricos e 56% dos tumores da região selar/supraselar

Características importantes:

  • Tumor benigno (quase sempre não canceroso)
  • Crescimento lento
  • Localização próxima a estruturas vitais (hipófise, hipotálamo, nervos ópticos)
  • Não se espalha para outras partes do cérebro ou corpo
  • Pode causar sintomas graves pela compressão de estruturas adjacentes
  • Distribuição bimodal por idade: crianças e adultos acima de 50 anos

 

Origem Embriológica:

O craniofaringioma se desenvolve a partir de restos embriológicos da bolsa de Rathke, um precursor embrionário da hipófise anterior que normalmente desaparece durante o desenvolvimento fetal.

 

Localização Anatômica:

  • Região selar: onde fica a hipófise (sela turca)
  • Região supraselar: acima da sela turca
  • Terceiro ventrículo: cavidade cerebral
  • Próximo ao quiasma óptico (cruzamento dos nervos ópticos)
  • Próximo ao hipotálamo (centro de controle hormonal)

 

Estruturas Críticas Adjacentes:

  • Glândula hipófise: produz hormônios essenciais
  • Hipotálamo: regula fome, sede, temperatura, sono
  • Nervos ópticos e quiasma: visão
  • Artérias cerebrais importantes
  • Ventrículos cerebrais: circulação do líquor

Tipos Histológicos

1. Craniofaringioma Adamantinomatoso

Tipo mais comum – representa 92-96% dos casos em crianças

Características:

  • Pode ocorrer em qualquer idade
  • Mais frequente em crianças (5-14 anos)
  • Apresenta calcificações frequentes (90% em crianças, 50% em adultos)
  • Geralmente cístico (70-75%)
  • Conteúdo cístico: líquido espesso, oleoso, brilhante (“óleo de motor”)
  • Tende a ser mais extenso e aderente
  • Taxa de recorrência maior que o tipo papilar
  • Aderência densa a estruturas vitais dificulta ressecção completa

 

2. Craniofaringioma Papilar

Tipo raro – quase exclusivo de adultos

Características:

  • Acomete quase exclusivamente adultos
  • Idade média: cerca de 50 anos
  • Raramente visto em crianças
  • Geralmente sólido
  • Menos calcificações que o adamantinomatoso
  • Taxa de recorrência menor
  • Menos aderente que o tipo adamantinomatoso
  • Pode ter mutação BRAF (importante para terapia alvo)

 

3. Craniofaringioma Misto

Tipo raro que apresenta características de ambos os tipos (adamantinomatoso e papilar)

Sintomas

Os sintomas do craniofaringioma são geralmente sutis e graduais no início, desenvolvendo-se à medida que o tumor cresce e comprime estruturas adjacentes. Os sintomas variam muito dependendo do tamanho e localização do tumor.

Muitas vezes há progressão gradual dos sintomas, e o diagnóstico pode não ser imediato. É a progressão dos sintomas que geralmente leva ao diagnóstico.

1. Sintomas Visuais (Compressão do Quiasma Óptico e Nervos Ópticos)

Muito comuns – presentes em 50-75% dos pacientes

  • Perda de visão progressiva
    • Pode ser gradual ou súbita
    • Geralmente bilateral
  • Hemianopsia bitemporal: perda de visão nas metades externas de ambos os olhos (padrão clássico)
  • Diminuição da acuidade visual
  • Visão turva ou embaçada
  • Defeitos no campo visual
  • Atrofia do nervo óptico (em casos avançados)
  • Pode progredir para cegueira se não tratado

2. Sintomas Endócrinos (Disfunção da Hipófise)

Muito comuns – presentes na maioria dos pacientes

Em Crianças:
  • Déficit de hormônio do crescimento:
    • Crescimento lento ou estagnado
    • Baixa estatura para idade
    • Crianças ficam menores que o esperado
  • Atraso puberal
  • Hipotireoidismo: cansaço, ganho de peso
  • Diabetes insípido central:
    • Sede excessiva (polidipsia)
    • Urina em grande quantidade (poliúria)
 
Em Adultos:
  • Irregularidades menstruais em mulheres
  • Disfunção erétil em homens
  • Diminuição da libido
  • Hipotireoidismo: fadiga, ganho de peso, intolerância ao frio
  • Insuficiência adrenal: fraqueza, hipotensão
  • Diabetes insípido
 
Hipopituitarismo:

Deficiência de múltiplos hormônios hipofisários:

  • Hormônio do crescimento (GH)
  • Hormônio tireoestimulante (TSH)
  • Hormônio adrenocorticotrópico (ACTH)
  • Hormônio luteinizante (LH) e folículo estimulante (FSH)
  • Hormônio antidiurético (ADH)

3. Sintomas por Hipertensão Intracraniana

Causados por obstrução da circulação do líquor

  • Cefaleia (dor de cabeça):
    • Progressiva
    • Pior pela manhã
    • Pode ser intensa
  • Náuseas e vômitos
    • Especialmente matinais
    • Vômito em jato
  • Papiledema: inchaço do nervo óptico
  • Letargia e sonolência (hipersonia)
  • Alterações no nível de consciência

4. Sintomas Hipotalâmicos

Quando o tumor afeta o hipotálamo

  • Ganho de peso:
    • Pode ser significativo
    • Obesidade hipotalâmica
    • Alteração do apetite
  • Alterações no apetite: hiperfagia (comer em excesso)
  • Desequilíbrios na temperatura corporal
  • Distúrbios do sono: insônia ou sonolência excessiva
  • Alterações comportamentais e emocionais:
    • Irritabilidade
    • Mudanças de personalidade
    • Problemas de memória
  • Alterações na pressão arterial

5. Outros Sintomas

  • Fadiga e fraqueza
  • Dificuldades cognitivas:
    • Problemas de concentração
    • Dificuldades de aprendizagem (crianças)
    • Alterações de memória
  • Atrasos no desenvolvimento (crianças pequenas)
  • Convulsões (raras)

Diagnóstico

1. Avaliação Clínica

História Médica Detalhada:

  • Evolução dos sintomas
  • Alterações visuais
  • Mudanças no crescimento (crianças)
  • Alterações hormonais
  • Cefaleias

Exame Físico Completo:

  • Avaliação visual: acuidade, campos visuais
  • Avaliação do crescimento: altura, peso, percentis
  • Exame neurológico: reflexos, coordenação, equilíbrio
  • Sinais de disfunção endócrina
  • Avaliação do desenvolvimento (em crianças)

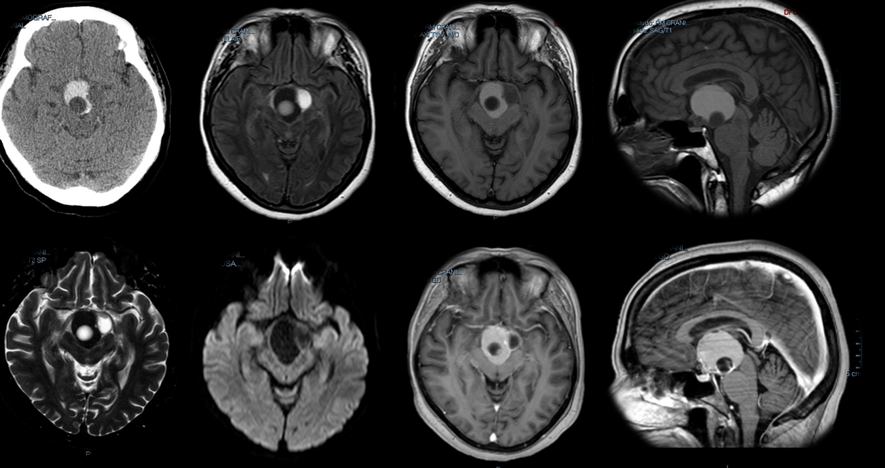
2. Exames de Imagem – Essenciais

Ressonância Magnética (RM) – Exame de Escolha

Padrão-ouro para diagnóstico

Características Típicas na RM:
  • Localização: região selar/supraselar
  • Componente cístico: presente em 70-75%
    • Conteúdo hiperintenso em T1 (líquido proteináceo)
  • Componente sólido: com realce heterogêneo
  • Calcificações: 80-87% (melhor vistas na TC)
  • Relação com estruturas adjacentes:
    • Compressão do quiasma óptico
    • Envolvimento hipotalâmico
    • Relação com haste hipofisária
    • Extensão ventricular
RM com Contraste (Gadolínio):
  • Essencial para delinear o tumor
  • Avaliar componentes sólidos e císticos
  • Planejamento cirúrgico

 

Tomografia Computadorizada (TC)

Complementa a RM

Indicações:
  • Melhor para identificar calcificações
  • Avaliar estrutura óssea da sela
  • Planejamento cirúrgico
  • Quando RM não disponível
Achados Típicos:
  • Calcificações: 90% em crianças, 50% em adultos
  • Lesão cística hipodensa
  • Componente sólido com realce

 

Radiografia Simples do Crânio

  • Uso limitado atualmente
  • Pode mostrar calcificações
  • Alterações da sela turca

3. Avaliação Endócrina – Essencial

Exames Hormonais:

Avaliam função da hipófise e presença de déficits hormonais

Painel Hormonal Completo:
  • Eixo tireoidiano: TSH, T4 livre
  • Eixo adrenal: cortisol, ACTH
  • Hormônio do crescimento: GH, IGF-1
  • Eixo gonadal: LH, FSH, testosterona/estradiol
  • Prolactina
  • Função do hipotálamo-hipófise posterior:
    • Osmolaridade sérica e urinária
    • Sódio sérico
    • Teste de privação hídrica (se diabetes insípido suspeitado)

Importante: A maioria dos pacientes apresenta algum grau de disfunção endócrina ao diagnóstico.

4. Avaliação Oftalmológica Detalhada

  • Acuidade visual
  • Campo visual: campimetria computadorizada
  • Fundo de olho: avaliar papiledema, atrofia óptica
  • Exame com lâmpada de fenda

5. Avaliação Cognitiva e Psicológica

Especialmente importante em crianças:

  • Avaliação neuropsicológica
  • QI e função cognitiva
  • Habilidades de aprendizagem
  • Função executiva

Tratamento

Importante: O tratamento do craniofaringioma é um dos mais desafiadores da neurocirurgia devido à localização do tumor próxima a estruturas vitais. Requer abordagem multidisciplinar com neurocirurgião, endocrinologista, oftalmologista, oncologista e outros especialistas.

Objetivos do Tratamento

  • Remover ou reduzir o tumor
  • Aliviar compressão de estruturas neurológicas
  • Preservar ou restaurar função visual
  • Preservar função endócrina
  • Preservar função cognitiva
  • Minimizar complicações
  • Prevenir recorrência
  • Manter qualidade de vida

 

Controvérsia: Não há consenso entre especialistas sobre o manejo ideal. O tratamento deve ser individualizado considerando idade, tamanho do tumor, sintomas e características individuais.

1. Tratamento Cirúrgico

A. Ressecção Total (Cirurgia Radical)

Objetivo: remover todo o tumor

Vantagens:
  • Potencial de cura
  • Menor taxa de recorrência
  • Pode evitar radioterapia
Desafios:
  • Muito difícil: tumor frequentemente aderente
  • Alto risco de complicações:
    • Lesão de nervos ópticos (cegueira)
    • Lesão da haste hipofisária (pan-hipopituitarismo)
    • Lesão hipotalâmica (obesidade, alterações comportamentais)
    • Lesão vascular
    • Hemorragia
  • Possível piora das funções visuais, endócrinas e cognitivas

 

Taxa de Ressecção Completa: Aproximadamente 63% dos casos conseguem ressecção total, mesmo com cirurgiões experientes.

 

B. Ressecção Subtotal (Cirurgia Conservadora)

Objetivo: remover maior parte possível preservando função

Indicações:
  • Tumor muito aderente a estruturas vitais
  • Risco alto de lesão neurológica com ressecção total
  • Paciente com função visual ou endócrina preservada
Estratégia:
  • Ressecção subtotal + radioterapia adjuvante
  • Balanceia eficácia e segurança
  • Preserva qualidade de vida

 

Abordagens Cirúrgicas

1. Via Transcraniana (Craniotomia):
  • Pterional: mais comum
  • Subfrontal
  • Transventricular
  • Permite visualização ampla
  • Acesso a tumores grandes e complexos
 
2. Via Transesfenoidal Endoscópica:
  • Endonasal: através do nariz
  • Sem incisão externa
  • Minimamente invasiva
  • Recuperação mais rápida
  • Indicada para: tumores menores, predominantemente infrasselares
  • Menos traumática
  • Menor tempo de internação
 
Tecnologia Moderna:
  • Neuronavegação: GPS cirúrgico, precisão milimétrica
  • Microscópio cirúrgico: visualização magnificada
  • Endoscopia: visão panorâmica
  • Monitorização neurofisiológica: proteção de nervos

 

2. Radioterapia

Indicações:

  • Após ressecção subtotal: tratar tumor residual
  • Recorrência tumoral
  • Alternativa à cirurgia: em casos selecionados
  • Tumores não ressecáveis

 

Tipos de Radioterapia:

Radioterapia Convencional Fracionada:
  • Dose: 50-54 Gy em 25-30 frações
  • Tratamento diário por 5-6 semanas
  • Padrão para maioria dos casos
 
Radiocirurgia Estereotáxica:
  • Gamma Knife
  • CyberKnife
  • Radiação altamente focada
  • Dose única ou poucas frações
  • Indicações: tumores pequenos, residuais, recorrentes
  • Minimiza dano a tecido saudável
 
Braquiterapia Intracavitária:
  • Fontes radioativas colocadas dentro do cisto
  • Irradia tumor “de dentro para fora”
  • Para tumores predominantemente císticos

 

Eficácia da Radioterapia:

  • Controle tumoral: 80-90% em 10 anos
  • Reduz risco de recorrência
  • Pode estabilizar ou reduzir tumor residual

 

Limitações e Efeitos Adversos:

  • Efeitos imediatos: fadiga, náusea
  • Efeitos tardios:
    • Agravamento de déficit hormonal
    • Dano à hipófise (hipopituitarismo)
    • Lesão do nervo óptico (raro com técnicas modernas)
    • Alterações cognitivas (especialmente em crianças pequenas)
    • Risco de tumor secundário (muito raro, <2%)
    • Vasculopatia (doença vascular cerebral)
  • Em crianças < 5 anos: pode afetar desenvolvimento cerebral

 

3. Tratamento Intracístico

Drenagem de Cistos:

  • Para tumores predominantemente císticos
  • Alivia sintomas rapidamente
  • Pode ser repetida se cisto reacumular

 

Instilação Intracística:

  • Bleomicina: agente quimioterápico
  • Interferon-alfa
  • Fósforo-32 radioativo: braquiterapia
  • Injetado dentro do cisto
  • Pode reduzir reacúmulo de líquido

 

4. Terapia Alvo

Para Craniofaringiomas Papilares com Mutação BRAF:

  • Inibidores de BRAF: vemurafenibe, dabrafenibe
  • Inibidores de MEK: trametinibe
  • Opção para tumores recorrentes ou irressecáveis
  • Resultados promissores em estudos recentes
  • Tratamento oral
  • Perfil de efeitos colaterais geralmente tolerável

 

5. Quimioterapia

  • Papel limitado no craniofaringioma
  • Uso em casos selecionados:
    • Recorrência múltipla
    • Tumor progressivo não responsivo a outros tratamentos
  • Pode ser intracística (bleomicina) ou sistêmica
  • Ainda em investigação

 

6. Terapia de Reposição Hormonal

Essencial na maioria dos pacientes – geralmente para toda a vida

Hormônios que Podem Necessitar Reposição:

  • Hormônio do crescimento (GH):
    • Em crianças: para crescimento adequado
    • Em adultos: massa muscular, densidade óssea
  • Hormônios tireoidianos: levotiroxina
  • Corticosteroides: hidrocortisona ou prednisona
  • Hormônios sexuais:
    • Testosterona em homens
    • Estrogênio/progesterona em mulheres
  • Desmopressina (DDAVP): para diabetes insípido

 

Acompanhamento:

  • Endocrinologista regularmente
  • Ajuste de doses conforme necessário
  • Monitorização de níveis hormonais
  • Tratamento geralmente para toda a vida

Atendimentos

Feira de Santana

IMD – Instituto Médico da Dor e Alleviare

Como chegar

Jequié

Ed. CENOMED

Como chegar

Salvador

IAD Pirituba – Instituto de alívio da dor

Como chegar

Salvador

Pró Alivio Day Hospital

Como chegar