Metástase Cerebral

A metástase cerebral é um tumor cerebral secundário que se origina quando células cancerígenas de um tumor primário localizado em outra parte do corpo se disseminam e alcançam o cérebro, onde formam novos tumores.

Importância Epidemiológica

Metástases cerebrais são MAIS COMUNS que tumores cerebrais primários

Representam a maioria das lesões tumorais encontradas no Sistema Nervoso Central

20-40% de todos os pacientes com câncer desenvolvem metástases cerebrais

Tumores metastáticos são quase 10 vezes mais comuns que tumores primários do cérebro

25% dos tumores que se originam em outras regiões do corpo metastatizam para o cérebro

Importante: As metástases cerebrais representam uma complicação neurológica grave do câncer sistêmico e são consideradas a fase final de diversos tumores, constituindo uma frequente causa de óbito. O diagnóstico precoce e tratamento adequado são fundamentais.

Como Ocorre a Metástase Cerebral?

1. Via Hematogênica (Mais Comum)

Através da corrente sanguínea:

  • Células cancerígenas se desprendem do tumor primário
  • Entram na corrente sanguínea
  • Viajam pelo sistema circulatório
  • Alcançam o cérebro através das artérias
  • Extravasam dos vasos sanguíneos
  • Invadem o tecido cerebral
  • Proliferam e formam novos tumores

 

2. Via Linfática (Menos Comum)

  • Disseminação através do sistema linfático
  • Menos frequente para metástases cerebrais

 

3. Invasão Direta (Rara)

  • Tumor de órgão adjacente invade diretamente
  • Exemplo: tumor de base do crânio

Sintomas

Os sintomas das metástases cerebrais são semelhantes aos tumores cerebrais primários e dependem do tamanhonúmero e localização dos tumores no cérebro.

Atenção: Há casos em que as metástases não são diagnosticadas devido ao seu pequeno tamanho e ao fato de estarem em áreas não eloquentes (que não causam sintomas evidentes).

 

Mecanismos que Causam os Sintomas

As metástases cerebrais interrompem a função neural por vários mecanismos:

  • Deslocamento direto: tumor empurra estruturas cerebrais
  • Edema perilesional: inchaço ao redor do tumor
  • Compressão vascular: pressão sobre vasos arteriais e venosos
  • Irritação da substância cinzenta: gera convulsões
  • Aumento da pressão intracraniana
  • Obstrução da circulação liquórica
  • Hemorragia intralesional: sangramento dentro do tumor

 

Sintomas por Hipertensão Intracraniana

Sintomas mais comuns – causados pelo aumento da pressão dentro do crânio

  • Cefaleia (dor de cabeça):
    • Pela manhã ao acordar (característico)
    • Progressiva (piora com o tempo)
    • Pode ser intensa
    • Pode piorar com manobras que aumentam pressão (tosse, espirro)
  • Náuseas e vômitos:
    • Especialmente matinais
    • Vômito pode ser em jato
    • Não relacionado à alimentação
  • Alterações do nível de consciência:
    • Sonolência
    • Letargia
    • Confusão mental
    • Desorientação
  • Papiledema: inchaço do nervo óptico

 

Sintomas Focais (Dependem da Localização)

Déficits Motores:

  • Fraqueza (paresia) ou paralisia (plegia):
    • Geralmente de um lado do corpo (hemiparesia – padrão mais comum)
    • Pode afetar braço, perna ou ambos
  • Dificuldades na marcha
  • Falta de coordenação motora: ataxia
  • Alterações da mobilidade

 

Déficits Sensitivos:

  • Alterações da sensibilidade:
    • Formigamento (parestesias)
    • Dormência
    • Perda de sensação
  • Persistentes em partes do corpo

 

Alterações Visuais:

  • Perda de visão parcial
  • Visão dupla (diplopia)
  • Defeitos no campo visual

 

Alterações de Linguagem:

  • Afasia: dificuldade para falar ou compreender
  • Dificuldade para encontrar palavras
  • Fala arrastada

 

Alterações de Equilíbrio e Coordenação:

  • Ataxia cerebelar: falta de coordenação
  • Desequilíbrio ao caminhar
  • Dificuldade para movimentos precisos

 

Convulsões (Crises Epilépticas)

Sintoma comum – presente em 20-40% dos pacientes

  • Podem ser focais ou generalizadas
  • Às vezes é o primeiro sintoma que leva ao diagnóstico
  • Causadas pela irritação do córtex cerebral pelo tumor
  • Requerem tratamento com anticonvulsivantes

 

Alterações Cognitivas e Comportamentais

  • Alterações de memória
  • Dificuldades de concentração
  • Confusão mental: pode ser inicialmente sutil
  • Desorientação
  • Alterações de personalidade:
    • Irritabilidade
    • Apatia
    • Perda de interesse em atividades
  • Alterações do raciocínio e julgamento

 

Outros Sintomas

  • Fadiga intensa
  • Alterações auditivas
  • Sintomas específicos conforme localização do tumor

 

Importante para Pacientes com Câncer:

Se você tem diagnóstico de câncer e apresenta qualquer um destes sintomas neurológicos, especialmente cefaleia progressiva, convulsões ou alterações motoras/sensitivas, avise imediatamente seu médico. Pode não ser metástase cerebral, mas precisa ser investigado.

Diagnóstico

1. Avaliação Clínica

História Médica Detalhada:

  • História de câncer: tipo, localização, tratamentos
  • Sintomas neurológicos: início, progressão
  • Fatores de risco
  • Histórico oncológico completo

 

Exame Físico e Neurológico:

  • Avaliação do nível de consciência
  • Exame de nervos cranianos
  • Avaliação de força muscular
  • Testes de sensibilidade
  • Avaliação de coordenação e equilíbrio
  • Reflexos
  • Fundo de olho (papiledema)

 

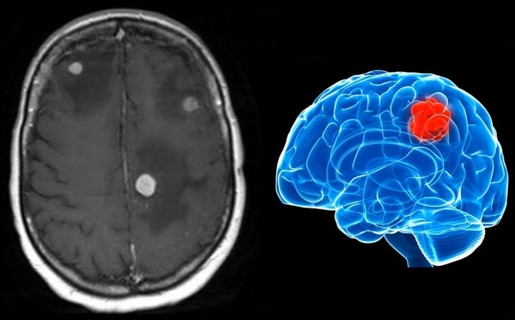
2. Exames de Imagem – Essenciais

Ressonância Magnética (RM) – Exame de Escolha

Padrão-ouro para diagnóstico de metástases cerebrais

 
Vantagens:
  • Alta sensibilidade: detecta lesões milimétricas
  • Melhor resolução de contraste
  • Diferencia edema de tumor
  • Avalia localização precisa
  • Permite planejamento terapêutico
 
RM com Contraste (Gadolínio):
  • Essencial: metástases realçam intensamente
  • Identifica número de lesões
  • Avalia tamanho e características
  • Detecta lesões pequenas não visíveis sem contraste
 
Características Típicas:
  • Lesões arredondadas ou ovaladas
  • Localização periférica: junção córtico-subcortical
  • Realce anelar: anel captante de contraste
  • Edema perilesional: inchaço ao redor (geralmente proeminente)
  • Múltiplas lesões: em diferentes localizações
  • Hemorragia: comum em melanoma e carcinoma renal

 

Tomografia Computadorizada (TC)

Quando usar:

  • Emergências (mais rápido)
  • Quando RM não disponível ou contraindicada
  • Avaliar hemorragia
  • Planejamento cirúrgico

Limitações:

  • Menos sensível que RM
  • Pode não detectar pequenas lesões
  • Menor resolução de contraste

TC com contraste iodado: melhora detecção

 

PET-CT (Tomografia por Emissão de Pósitrons)

Útil para:

  • Estadiamento completo do câncer
  • Identificar tumor primário quando desconhecido
  • Detectar outras metástases no corpo
  • Diferenciar recorrência de alterações pós-tratamento

 

3. Biópsia Cerebral

Indicações:

  • Casos duvidosos: quando não está claro se é metástase
  • Lesão única em paciente sem tumor primário conhecido
  • Diagnóstico diferencial: tumor primário vs. metástase vs. outra lesão
  • Confirmar tipo celular

 

Tipos de Biópsia:

  • Biópsia estereotáxica (guiada por imagem):
    • Minimamente invasiva
    • Agulha guiada por RM ou TC
    • Pequeno orifício no crânio
    • Anestesia local ou geral
  • Biópsia aberta (durante cirurgia):
    • Craniotomia
    • Permite ressecção durante o procedimento

 

Análise Histopatológica:

  • Identifica tipo de célula tumoral
  • Confirma origem do tumor primário
  • Orienta tratamento específico

 

4. Investigação do Tumor Primário

Se tumor primário não é conhecido:

  • Exames de imagem de corpo inteiro (TC, PET-CT)
  • Radiografia de tórax
  • TC de tórax, abdome e pelve
  • Marcadores tumorais séricos
  • Mamografia (mulheres)
  • Exames específicos conforme suspeita

 

Diagnóstico Diferencial

É importante descartar outras condições que podem apresentar sintomas semelhantes:

  • Tumores cerebrais primários: glioblastoma, astrocitoma
  • Abscesso cerebral: infecção
  • Hemorragia cerebral
  • Lesões vasculares: AVC, malformações
  • Encefalite
  • Doenças desmielinizantes

Atendimentos

Feira de Santana

IMD – Instituto Médico da Dor e Alleviare

Como chegar

Jequié

Ed. CENOMED

Como chegar

Salvador

IAD Pirituba – Instituto de alívio da dor

Como chegar

Salvador

Pró Alivio Day Hospital

Como chegar